ESTUDIOS Y ENSAYOS

Estudios de eficacia

Ensayos de eficacia para lograr la máxima efectividad

Llevamos a cabo pruebas ex vivo e in vivo para monitorear la mejora en la eficacia de los activos encapsulados, como resultado de nuestros sistemas de entrega.

Realizamos pruebas de eficacia utilizando explantes de piel humana para simular situaciones de penetración y actividad cosmética en la vida real. A modo de ejemplo, a continuación, mostramos algunos de los resultados obtenidos.

Estudios de eficacia in-vivo y ex-vivo

Vegan HDS Keradefence: Efecto protector contra UV y contaminación

Vegan HDS Keradefence (M4) provides 89.45% protection against keratin degradation caused by UV-A radiation and pollution

89.45%

Vegan DDS Pure Retinal

Ex-vivo – Actividad antienvejecimiento

X3.7 mayor recuperación de colágeno y elastina que el activo libre

Vegan DDS True Retinol

Ex-vivo – Actividad antienvejecimiento

X18.5 mayor recuperación de colágeno que el activo libre

X1.7 mayor recuperación de elastina que el activo libre

Vegan CDS Glycolic

Evaluación del efecto antidescamación

Image of peeling

at T0

Image of peeling

at T14

Image of peeling

at T28

Vegan CDS Glycolic muestra un efecto progresivo de renovación celular que aumenta con el uso continuo.

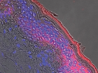
Estudio de eficacia

Test de fluorescencia

En rojo, activo libre; en verde, activo encapsulado en nuestro FDS Vegano.

Estas pruebas se basan en un marcaje fluorescente de nuestros liposomas, utilizando un enlace covalente, para rastrearlos a través de la piel, el cabello u otras áreas.

En azul, núcleo celular; en rojo, activo encapsulado en nuestro DDS Vegano.

Caracterización completa

Tras cada producción, nuestros productos son sometidos a un exhaustivo análisis de caracterización.

Tamaño medio

Distribución de tamaños

Concentración de liposomas

Z-Potencial

Carga superficial

Carga de ingredientes acitvos

Realizamos un informe de caracterización del producto cosmético final para certificar el perfecto estado de las nanovesículas tras su incorporación en la formulación final del cliente.

Solicitar estudio

¿Estás interesado en revisar el estudio de eficacia de alguno de nuestros productos?

¿NECESITAS UN SISTEMA de Encapsulación PERSONALIZADO?

Si en nuestro catálogo no encuentras el activo que necesitas vehiculizar y/o proteger, en INdermal desarrollamos una nanovesícula específica para tu proyecto.

Únete a nuestro boletín